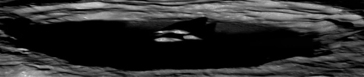
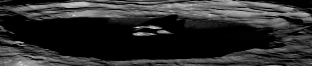
Am tot văzut fotografii cu Luna, detaliate sau nu, și toate au ceva în comun: sunt făcute de pe Pământ sau de sondele spațiale care au orbitat în jurul Lunii și ne arată relieful selenar de sus.

A venit timpul să putem vedea craterele și munții de pe Lună ca și cum am zbura pe deasupra lor (foarte de sus) cu un elicopter, adică oblic.
Imaginile sunt luate de sonda spațială Lunar Reconnaissance Orbiter care orbitează Luna de un an și se află la o înălțime de 50 km deasupra acesteia.
Din când în când, în afară de imaginile extraordinare dar luate perpendicular pe relief, sonda este comandată să privească oblic spre Lună. În acest caz putem vedea umbrele lăsate de munți și bolovani dar și înălțimea sau adâncimea reliefului.



Frumusețea stă și în faptul că toate aceste imagini pot fi văzute la rezoluție originale, gratis, pe site-ul sondei: http://wms.lroc.asu.edu/lroc_browse.
M-am uitat pe site-ul sondei. Imaginea “Secrets of Schröteri – WAC mosaic” mi se pare dubioasa rau de tot. Ce pacat ca nu au dat poze de rezolutie mai inalta! Sant ferm convins ca se pot face poze chiar detaliate, judecand dupa faptul ca in timpul razboiului rece a avut loc un “concurs” intre SUA si URSS de fotografiere a unui detaliu terestru din satelitii militari aflati pe orbite circumterestre; rezultatul a fost de egalitate, adica stelitii mil. ai ambelor puteri de atunci au fotografiat o minge de ping-pong sau bila de golf, nu stiu exact aflata pe o pajiste. Deci se putea acu’ mai bine de 20 de ani. Logic ca si navele terestre ce orbiteaza diverse planete au facut asemenea poze la detaliu. Iar publicului larg i se arunca praf in ochi dandu-i poze luate de la 100-200 km. Probabil in pozele detaliate se observa urme clare de constructii/vehicule artificiale, vietuitoare pluricelulare etc. iar informatiile de genul acesta sant automat clasificate si arhivate de serviciile secrete, ca informatii secretizate, la care plebea nu va avea acces poate niciodata.
[…] Credea vreunul dintre voi că azi se va zbura peste Lună? Voluntarii de la MoonZoo au descoperit printre imaginile luate de sonda Lunar Recoinassance Orbiter (LRO) imagini cu Luna luate oblic. […]
[…] mai frumoase imagini ale planetelor sunt cele care fac să te simți că ai fi acolo. Imaginile oblice cu Luna sunt un exemplu dar acum am mai gasit unul, o imagine luată de singurul satelit […]
[…] zburat oblic pste Lună acum un an și în aprilie. LD_AddCustomAttr("AdOpt", "1"); LD_AddCustomAttr("Origin", "other"); […]